ONDA微波提升(面部)
提升松弛肌肤,精炼多余体积的高端轮廓重塑
超越提升,重新设计面部密度
一次实现两种效果
提升与减脂,
一次实现两种效果
新一代微波提升
目的不是单纯缩小面部。不是去除多余脂肪,而是精炼面部的平衡与密度。
FACE ONDA是利用微波能量同时提升肌肤弹性与轮廓的高端提升方案。
#轮廓精炼 #体积平衡 #肌肤密度恢复
双手柄
可进行两种深度的
定制化治疗
7mm和12mm两种深度的手柄
从真皮层到脂肪层选择性传递能量
根据肌肤状态进行1:1定制设计
精准施术,打造最佳效果。
Only ONDA Lifting
仅在ONDA微波提升中
才能体验的技术实力
意大利DEKA公司的专利微波技术 —
与传统射频(RF)和超声波(HIFU)完全不同

全球首创Coolwaves™技术
采用2.45GHz微波与专利冷却系统,在将能量传递至肌肤深层的同时保护表皮的全新提升方式

80%能量直接传递至真皮层
几乎无表皮能量损失地穿透仅选择性集中作用于真皮和脂肪层 — 不损伤表皮的安全治疗

提升 + 减脂同步实现
通过胶原蛋白收缩实现即时紧致与脂肪细胞消除ONDA独有的双重效果

无痛·零恢复期
治疗过程中温度传感器实时监测肌肤温度无需麻醉即可舒适治疗。无肿胀、无淤青,立即恢复日常生活
ONDA微波提升(面部)效果
从定制化治疗方案到术后持续的肌肤改善 —
这是Dr. Eraser诊所ONDA微波提升所带来的蜕变过程。

针对各肌肤层的1:1治疗设计
根据个人肌肤状况和关注部位制定定制化治疗方案

即时感受到的提升与紧致效果
治疗后即刻感受到的肌肤弹性与轮廓变化

持续的胶原蛋白重塑
即时效果 + 6个月至1年的渐进式改善
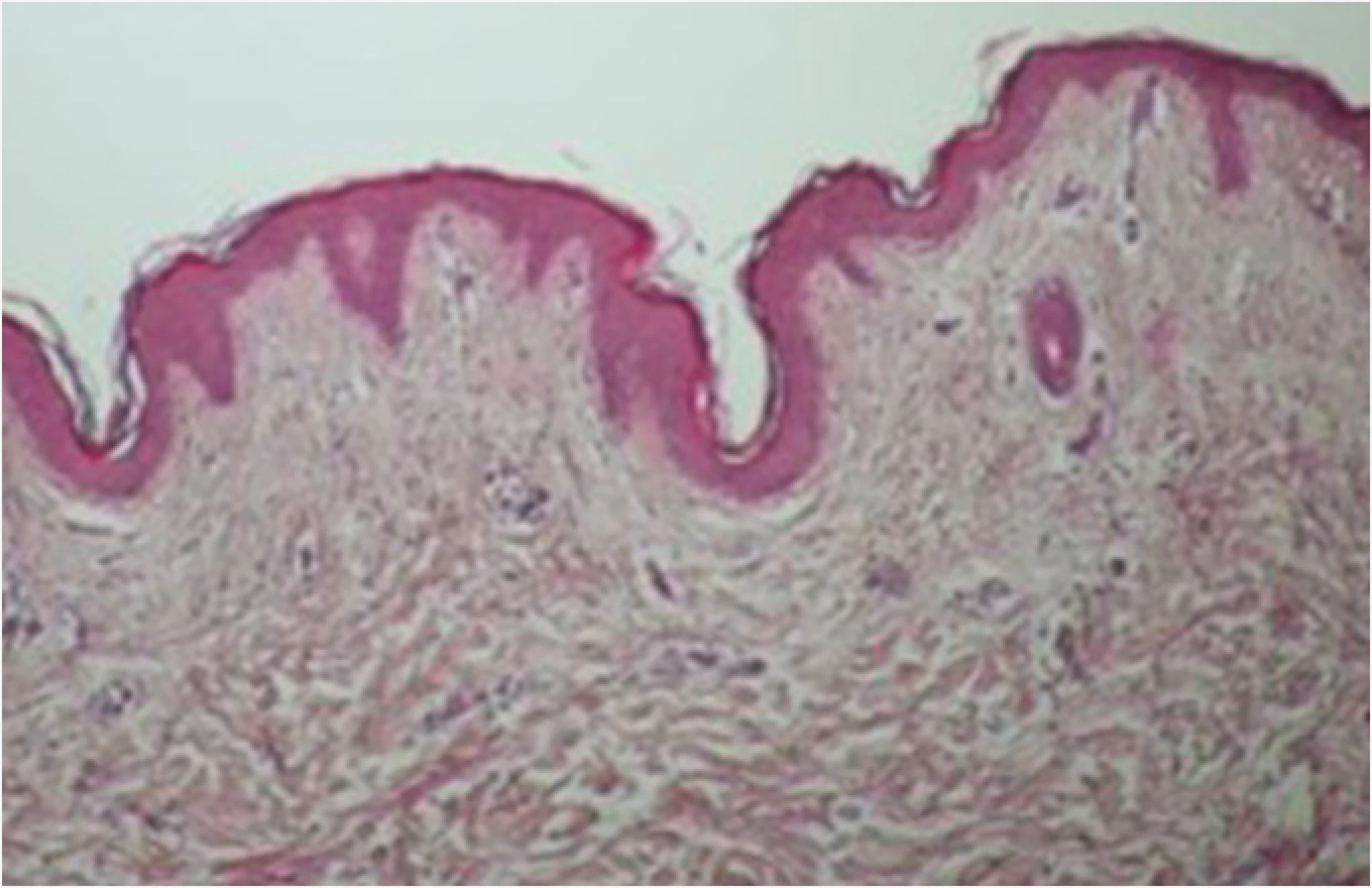
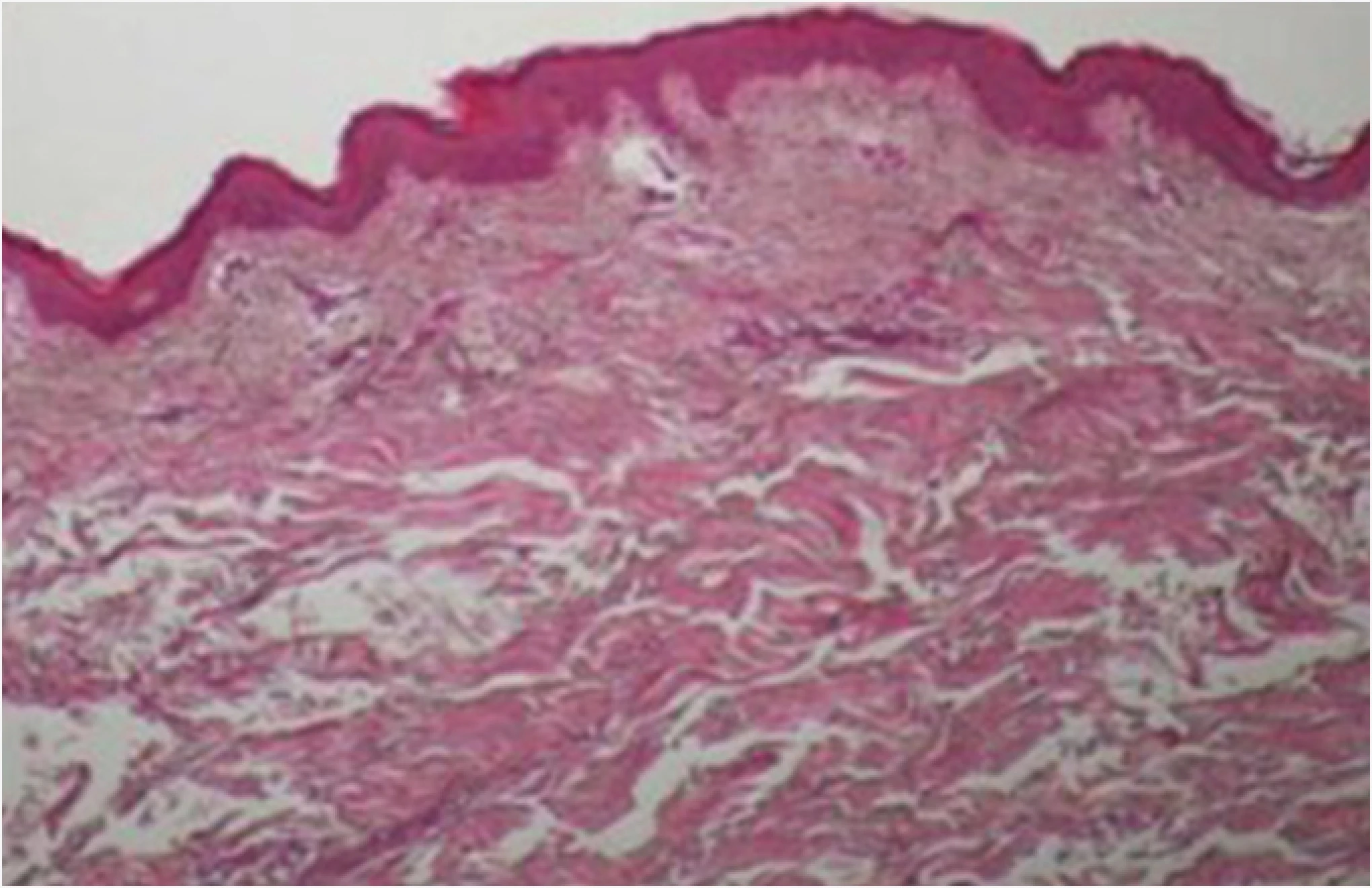
肉眼可见的胶原蛋白活化变化
ONDA微波提升
ONDA治疗后,可以明显看到真皮层胶原蛋白被激活。
ONDA能量转化为热能,收缩松弛的胶原纤维并触发重塑
同时实现肌肤紧致与提升效果。

治疗前

治疗后
Key Benefits
ONDA微波提升(面部) POINT
- 提升 + 减脂复合效果
- 即时提升效果
- Coolwaves™冷却系统最大限度减少不适感
- 无肿胀、无淤青,立即恢复日常生活
- 治疗时间短
- 术后随着时间推移效果不断提升
Recommended For
这类人群推荐
ONDA微波提升(面部)
因面颊脂肪和双下巴导致V线轮廓变得模糊的人群
开始出现肌肤弹性下降的人群
担心其他提升治疗疼痛的人群
治疗后需要立即恢复日常生活的人群
Treatment Details
施术信息
ONDA微波提升(面部)的项目信息
施术时间
10至30分钟
麻醉方式
无麻醉
恢复期
即时日常生活
建议次数
3-5次
施术前后注意事项
- 施术后当天即可洗脸和淋浴,但要避免使用任何可能刺激皮肤的东西,如磨砂膏和去角质产品。
- 施术后,皮肤可能会因高温而感觉干燥,应使用再生霜、润肤霜和防晒霜。
- 术后可能会出现暂时性发红、发热、瘙痒、荨麻疹、疼痛和干燥。这种情况因人而异,但通常会在 3-7 天内消失。
- 3天内避免冷敷或桑拿以及大量饮酒。
- 一周内避免高压按摩。
How It Works
施术流程
ONDA微波提升(面部)的手术过程
第一,面诊
与本院专科医生面诊咨询
第二,计划
为您安排合适的手术
第三,施术
进行施术及管理检查
第四,随访/复诊
由专科医生进行随访观察
FAQ
常见问题
ONDA微波提升会痛吗?
几乎没有疼痛感,无需麻醉即可进行。Coolwaves™冷却系统还可将热感降至最低。
与其他提升治疗有什么不同?
ONDA是唯一使用微波技术的提升治疗,可同时实现提升与减脂效果。
什么时候可以看到效果?
治疗后即刻可见效果,并在2至3个月内随着胶原蛋白再生逐步改善。
会出现面部凹陷吗?
在治疗前的设计阶段会避开容易凹陷的部位,无需担心。
推荐做几次治疗?
根据个人肌肤状况,推荐3至5次,间隔2至4周进行。